|
1.1 - 1.4
1.5 - 1.9
1.10 - 1.12
2.1 - 2.3
2.4 - 2.5
2.6 - 2.7
3.1 - 3.2
3.3
3.4 - 3.5
4.3
5.1
5.2 - 5.3
6.1 - 6.2
6.3 - 6.4
7.1 - 7.2
7.3 - 7.4
8.1 - 8.2 |
Четвертая глава
Первая часть
Главный объект изучения в психофизиологии - это мозговые
процессы, опосредующие поведение; психику и сознание. Адекватным
уровнем; описания подобных "высших» функций мозга являются не просто,
физиологические возбуждения и торможения отдельных нейронов, областей и
структур мозга, а специфические схемные процессы и функциональные системы,
осуществляющие взаимоотношение целого организма с предметной средой.
Естественно возникает вопрос о том, откуда берутся такие системы, как они
возникают в эволюции, как они складываются я ходе развития мозга и по
каким механизмам они видоизменяются под влиянием опыта и обучения?
Возникновение нервной системы
Синтез белка посредством считывания информации с гена в виде молекулы
матричной РНК (мРНК) и ее трансляции в белковую молекулу называется
экспрессией гена.
Экспрессия (лат. expressus явный, выразительный) — степень
развития признака, контролируемого данным геном.
В каждой клетке экспрессируются далеко не все гены, а только определенная их
часть, которая и определяет молекулярную специфику ее композиции и функций.
Обычно для построения того или иного органа достаточно экспрессии в его
клетках лишь нескольких процентов от общего числа генов в геноме.
Один из важнейших фактов, обнаруженный молекулярной генетикой мозга, состоит
в том, что число генов, активных в мозге,
значительно превосходит количество генов, экспрессирующихся во всех других
органах и тканях.
В действительности молекулярный репертуар мозга может быть даже еще больше.
Продукты многих мозгоспецифических генов подвержены
альтернативному сплайсингу — экспрессия
гена в разных клетках может давать различные белки за счет использования
разной комбинации функциональных блоков одного и того же гена.
Но как, к примеру, возникают различные составные элементы крупных частей
нервной системы, как они занимают определенное положение внутри мозга, каким
образом происходит дифференцировка нейронов и окружающих их глиальных
клеток, как устанавливают связи друг с другом нейроны различных участков
мозга? Определяя какие события являются главными в развитии нервной
системы, можно рассчитывать на успешное решение этих кардинальных
вопросов.
Ранняя стадия развития нервной системы -
эмбриональный период.
Эмбрион (embryon; греч. «утробный плод, зародыш») — совокупность
клеток, находящихся кнутри от трофобласта, у зародышей млекопитающих и
человека на стадиях морулы и ранней бластоцисты.
Морула (лат. morum тутовая ягода) — стадия развития зародыша,
предшествующая образованию бластулы или бластоцисты и представляющая собой
округлый комплекс клеток с незначительными промежутками между ними.
Бластоциста (blastocystis, LNE; бласто- + греч. kystis пузырь; син.:
бластодермический пузырек, зародышевый пузырек) — зародыш млекопитающих (в
т.ч. человека) в период дробления, имеющий пузыревидную форму.
Трофобласт (trophoblastus; трофо- + греч. blastos росток, зародыш; син.
трофэктодерма) — наружный слой клеток у зародышей млекопитающих, возникающий
на стадии бластоцисты; обеспечивает контакт зародыша с материнским
организмом; участвует в имплантации зародыша в стенку матки и образовании
плаценты.
Эмбриобласт (embryoblastus; эмбрион + греч. blastos росток, зародыш;
син.: архибласт, клеточная масса внутренняя) — совокупность клеток,
находящихся кнутри от трофобласта, у зародышей млекопитающих и человека на
стадиях морулы и ранней бластоцисты.
Нервная сеть берет начало самых ранних стадий развития эмбриона. В середине
быстро растущего полого зародыша образуется плоская клеточная пластинка (нервной
пластинки).
Нервная сеть —
1) тип строения нервной ткани, представленный совокупностью нейронов в
сочетании с проходящими в различных направлениях нервными волокнами,
имеющими под микроскопом вид войлока или сетки;
2) совокупность функционально взаимосвязанных нейронов.
Нервная пластинка (lamina neuralis, ENE; син. медуллярная
пластинка) — утолщенный участок эктодермы у зародышей позвоночных,
представляющий собой первичную закладку головного и спинного мозга,
предшествующую стадии нервной трубки.
Нервная трубка (tubus neuralis, ENE; син.: медуллярная трубка,
мозговая трубка) — закладка головного и спинного мозга на дорсальной стороне
у зародыша позвоночных; имеет вид трубки, возникает в результате смыкания
краев нервного желобка нервной пластинки.
"Самопостроение"
нервной системы начинается с формирования на головном конце
нервной трубки трех выпуклостей, соответствующих трем главным частям мозга —
переднему, среднему и заднему мозгу.
В развитии любой части мозга можно выделить восемь
основных стадий. Последовательно это:
1) Клетки нервной пластинки детерминируются как будущие нейроны
того или иного общего типа.
Детерминация (лат. determinatio
ограничение, определение) — возникновение качественного своеобразия частей
развивающегося организма на стадиях, предшествующих появлению морфологически
различимых закладок тканей и органов.
2) Клетки детерминированного участка
начинают делиться.
Митоз (mitosis; греч. mitos нить; син.: деление митотическое,
деление непрямое, кариокинез) — основная форма клеточного деления, сущность
которой заключается в равномерном распределении хромосом между дочерними
клетками.
Митотический цикл — совокупность периодически повторяющихся
процессов, протекающих в клетке при подготовке и осуществлении митоза.
- Если предположить, что полностью развитый головной мозг содержит
порядка 100 миллиардов нейронов и что после рождения фактически не
добавляется новых нейронов, то можно вычислить, что в период внутриутробного
развития нейроны должны образовываться со скоростью более чем 250000 в
минуту.
- Хотя до сих пор неизвестно, чем включается и выключается механизм
размножения в каждой данной области нервной системы, ясно, что сроки, по
истечении которых различные популяции клеток перестают делиться, жестко
детерминированы.
3) Эти клетки мигрируют к местам их
промежуточного или окончательного назначения.
- Поскольку большинство нейронов образуется в зоне нервной трубки или
в непосредственной близости от нее, а окончательно располагаются на
некотором расстоянии от этого слоя, следовательно, они должны пройти хотя бы
одну стадию миграции после выхода из митотического цикла. Только в небольшом
числе случаев клетки, мигрируя из зоны нервной трубки, продолжают делиться.
- В большинстве случаев движение нейронов
при миграции носит амебоидный характер. Мигрирующая клетка вначале
выбрасывает ведущий отросток, который прикрепляется к подходящему субстрату;
ядро перетекает или втягивается в отросток, после чего подтягивается задний
отросток. В целом это довольно медленный процесс: средняя скорость миграции
клетки составляет около одной десятой миллиметра в день. В некоторых случаях
клетка как целое не мигрирует. Вместо этого вначале на ранней стадии
развития она выпускает несколько отростков, а позднее тело клетки
перемещается постепенно все дальше и дальше от первых отростков, которые
остаются при миграции тела на прежнем месте.
- Выход клеток из митотического цикла, по-видимому, не только влечет
за собой последующую миграцию клеток в промежуточный слой, но и обеспечивает
клеткам окончательный их «адрес», в том смысле, что если известна «дата их
рождения» (определяемая по времени, когда клетки теряют способность
синтезировать ДНК), то можно предсказать и будущее их местоположение. Более
того, в некоторых случаях оказывается, что именно в это время определяется
характер связей, в конечном счете формируемых нейроном.
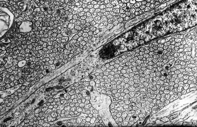
 |
На электронной микрофотографии запечатлен момент
миграции молодого нейрона от места появления в глубине мозжечка к месту
назначения вблизи наружной поверхности развивающегося мозга.
Мигрирующий нейрон - это более широкая из двух диагональных полос,
проходящих через всю микрофотографию от правого верхнего угла до
левого нижнего; вытянутое темное образование в верхней части полосы - ядро
нервной клетки. Более светлая, узкая полоса, тянущаяся вдоль верхней границы
нейрона, - это удлиненный отросток глиальной клетки, которая служит опорной
структурой и ориентиром для мигрирующего нейрона. Нейрон движется через
плотный нейропиль, или «войлок» из нервных волокон, расходящихся в разных
направлениях. (Большинство округлых структур на фотографии являются
поперечными срезами аксонов, расположенных более или менее перпендикулярно к
плоскости снимка.) Хотя мигрирующий нейрон таким образом контактирует с
тысячами других клеточных отростков, он остается тесно связанным именно с
глиальной клеткой на протяжении всей ее длины.
|
4)
Достигнув места своей окончательной локализации, все еще незрелые нейроны
начинают собираться в группы, из которых
позже разовьются «ядра» взрослой нервной системы.
- Крупные нейроны (а к ним принадлежит большинство клеток, отростки
которых распространяются на значительные расстояния, таких, например, как
проецирующиеся в зрительные центры мозга клетки сетчатки) обычно формируются
раньше, чем более мелкие нейроны, волокна которых не распространяются далеко
за пределы тела клетки.
- В каждой области мозга имеется характерное распределение клеток ко времени
завершения размножения. К примеру, в коре головного мозга первые клетки,
прекратившие размножение, впоследствии занимают самый глубинный кортикальный
слой, а клетки, образовавшиеся в значительно более позднее время,
соответственно создают все более поверхностные слои коры.
С другой стороны, в нейральном компоненте сетчатки (являющейся своеобразным
продолжением мозга) пространственное распределение клеток разных генераций
прямо противоположное: первое поколение образовавшихся клеток (ганглиозные)
мигрируют в самый поверхностный слой сетчатки, а следующие популяции
занимают все более глубокие слои. В других областях мозга расположение
клеток более сложное, но и для подобных случаев можно считать доказанным,
что клетки, локализующиеся в пределах одной общей зоны, образованы
одновременно, и наоборот, клетки, образованные в разное время,
располагаются, как правило, в разных зонах.
- В большей части мозга первые глиальные (опорные) клетки появляются
примерно в то же самое время, что первые нейроны, но чаще всего размножение
глиальных клеток продолжается значительно дольше.
- Если клетки из двух или трех областей развивающейся нервной системы
диспергировать (лат. dispergo рассыпать, рассеивать - механически или же с
помощью мягкой химической обработки), смешать вместе, а затем оставить
реагрегировать в подходящей среде (лати. re... возобновляемое,например,
реконструкция, обратное действие), то они проявляют тенденцию
сортироваться таким образом, что клетки каждой данной области агрегируют
преимущественно с клетками той же области (от лат. aggrego, присоединяю - по
внешности целое, но составное).
- Еще одна особенность агрегации клеток в развивающейся нервной системе
состоит в том, что в большинстве областей мозга клетки не только агрегируют
друг с другом, но и приобретают некоторую предпочтительную ориентацию. К
примеру, в коре головного мозга большинство крупных пирамидных нейронов
согласованно выстраиваются в ряд таким образом, что их выступающие
апикальные дендриты оказываются направленными к поверхности, а их аксоны
располагаются в направлении подлежащего белого вещества. Непонятно, что
помогает клеткам выстраиваться в ряд, однако представляется вероятным, что
этому способствует либо наличие на поверхности клетки молекул разных
классов, задающих ориентацию, либо избирательное перераспределение
поверхностных молекул, определяющее исходную клеточную агрегацию.
5) Эмбриональные нейроны, образующие
скопления, перестают делиться и начинают формировать
соединительные отростки.
- У большинства отростков на их растущих концах находятся особые
структуры, названные конусами роста. Эти развернутые, весьма подвижные
структуры в живом виде выглядят как постоянно и активно исследующие свое
непосредственное окружение. Они являются местами, в которых происходит
добавление большей части нового материала к растущему отростку. Когда
отросток разветвляется, он почти всегда образует новый конус роста.
Эксперименты, в которых нейронам создавались условия для роста на различных
искусственных субстратах, показали, что большинство отростков растет
преимущественно вдоль поверхности повышенной адгезивности (от лат. adhaesio
- связь, возникающая между разнородными телами но сохраняется граница между
контактирующими телами).
- Точно не ясно, что стимулирует образование отростков.
Исследованиями, в которых изолированные незрелые нейроны поддерживались в
культуре, выяснено, что отростки образуются только на клетках,
прикрепляющихся к подходящему субстрату, и что при этом условии клетки часто
способны образовывать совершенно нормальный набор дендритов и аксонов. В
некоторых случаях, несмотря на пребывание в искусственных условиях, общий
вид дендритов, образованных в культуре, точно соответствует характерному для
интактного мозга (лат. intactus нетронутый), хотя при этом клетки лишены
всех контактов с другими нейронами и даже с глиальными клетками. Наблюдения
такого рода дают основания предполагать, что информация, необходимая для
формирования характерного ветвления дендритов, детерминирована генетически.
- Уже на ранних стадиях развития большинство связей устанавливается
точно; существует много доказательств того, что образованные связи
специфичны не только для данной области мозга, но и для данного нейрона (а в
некоторых случаях и для данных частей нейрона) внутри этой области.
- Одна из наименее понятных проблем нейробиологии развития состоит в
том, как аксоны определяют правильный путь. Это особенно трудно понять,
когда аксонам приходится протягиваться на значительные расстояния сквозь
структуры мозга, и в одной или нескольких точках своего пути отклоняться
либо влево, либо вправо, продвигаясь к противоположной стороне мозга и
образуя одно или несколько ответвлений до того, как они окончательно
достигнут предопределенного местоположения.
- Многие молодые нейроны несут на себе множество коротких
дендритоподобных отростков, из которых почти все по мере «взросления» клеток
втягиваются назад. Аналогично большинство развивающихся аксонов образует
значительно больше связей, чем их остается во взрослом состоянии, иными
словами, существует процесс ликвидации связей, во время которого устраняются
многие (а в некоторых случаях все, за исключением одной) первоначальные
связи.
- У аксонов имеется тенденция расти в тесном соседстве друг с другом.
Этот феномен известен под названием фасцикуляции (расположения пучками).
6) Это приводит к раннему образованию
связей и обеспечивает возможность синтеза и выделения нейромедиаторов.
Интересно, что в онтогенезе
медиаторы возникают значительно раньше нервной
системы. Уже на самых ранних стадиях дробления зародыша взаимодействие
между бластомерами осуществляется при участии таких классических медиаторов,
как серотонин, ацетилхолин и др., причем механизмы их внутриклеточного
действия опосредуются процессами, весьма сходными с теми, которые возникают
в постсинаптических нервных клетках.
Бластомер (греч. blastos росток, зародыш + meros часть) — общее
название эмбриональных клеток, образующихся при дроблении яйца путем
митотического деления и отличающихся отсутствием роста.
7) В конце концов «правильные» связи стабилизируются, а клетки,
связи которых оказались «неудачными» или слишком малочисленными, отмирают.
Этот процесс известен как «запрограммированная
гибель клеток».
- Развитие многих структур и тканей сопровождается строго
запрограммированными фазами гибели клеток. Это справедливо и в отношении
развивающегося мозга. Во многих его областях образуется значительно больше
нейронов, чем выживает в последующий период развития. В каждой области, для
которой были возможны количественные оценки, обнаружено, что число нейронов
регулируется избирательной гибелью клеток, происходящей в предсказуемый
период развития (обычно тогда, когда популяция нейронов как целое формирует
синаптические связи с тканями-мишенями). Неизвестно, проявляется ли этот
феномен в любой части мозга (он был изучен главным образом в небольших
группах клеток), но там, где он был обнаружен, он затрагивает от 15 до 85%
исходной популяции нейронов.
- Окончательные размеры популяции нейронов во многих частях мозга
устанавливаются в две фазы: на ранней стадии, когда образуется сравнительно
много клеток, и на более поздней, когда происходит регуляция числа нейронов
в соответствии с размерами иннервируемого ими поля. Вообще же можно
предположить, что лимитирующим фактором, определяющим окончательное число
клеток, является количество функциональных контактов, имеющихся в
распоряжении аксонов развивающихся нейронов. Если в эксперименте уменьшить
размеры проекционной зоны, то естественная гибель клеток усиливается в такой
же степени.
По современным данным, однако, более вероятным кажется, что критическим
является не столько само образование связей, сколько количество трофического
фактора, достигающего клеток (греч. trophē питание).
8) После того как общее число нейронов
стабилизировалось, происходят незначительные
изменения проводящих путей в соответствии с функциональной
нагрузкой тех или иных систем.
- На более поздней стадии развития осуществляется дополнительная регуляция,
но не столько численности популяции нейронов в целом, сколько количества
сохраняемых клетками отростков.
- Последовательное исчезновение возникших отростков заставляет задуматься
над тем, чем определяется, какой отросток выживет, а какой будет
элиминирован (лат. eliminare выносить за порог, удалять).
В настоящее время можно лишь догадываться, что развивающиеся волокна
каким-то образом конкурируют друг с другом. Имеются косвенные доказательства
того, что одним из факторов, обеспечивающих подобное преимущество, может
служить их функциональная активность. Во всяком случае, ясно, что для многих
систем итоговая картина распределения той или иной популяции нейронов
формируется постепенно из довольно аморфной структуры, и при этом часто
оказывается возможным заметно изменить окончательный вид структуры и ее
связей, воздействуя во время определенного критического периода развития на
ее функцию.
- Развивающийся мозг является исключительно пластичной структурой. Хотя
многие области могут быть «жестко запаяны», другие (такие, как зрительная
кора) открыты для различных воздействий - как внутренних, так и внешних.
Таким образом, возникновение и развитие нервной системы представляет собой
следующие переходы:
| - начальная
система: |
что-то
неопределенное |
|
воздействие
взаимодействие |
"что-то
неопределенное" воздействует "чем-то неопределенным" |
|
| |

Молекулы |
|
|
"молекулы"
взаимодействуют "чем-то неопределенным" |
|
| - информационная
система: |

Гены - 1 |
|
|
взаимодействие |
"гены - 1"
взаимодействуют "чем-то неопределенным" |
|
| |

Белки - 1 |
|
|
|
"белки - 1"
взаимодействуют "чем-то неопределенным" |
|
| -
функциональная система: |

Органоиды |
|
|
саморегулирование
функционирование |
|
"органоиды"
саморегулируются "чем-то неопределенным" |
|
| |

Хромосомы |
|
|
|
"хромосомный
набор" саморегулируются "чем-то неопределенным" |
|
| |
|

Эмбрион |
|
|
| |
"хромосомный набор
- 1" саморегулируются "чем-то неопределенным" |
|
| |
|

Гены - 2 |
|
|
| |
"хромосомный набор
- 2" саморегулируются "чем-то неопределенным" |
|
| |
|

Белки - 2 |
|
|
| |
"белки-2"
взаимодействуют "чем-то неопределенным" |
|
| |
|

Нейробласт
(генетическая единица Гены - 3) |
|
|
| |
"гены - 3"
взаимодействуют "чем-то неопределенным" |
|
| |
|

Нейрон (функциональная единица) |
|
|
| |
Нейроны
взаимодействуют "чем-то неопределенным" |
|
| |
|

Нервная сеть |
|
|
| |
нейроны
взаимодействуют "чем-то неопределенным" |
|
| |
|

Нервная система |
|
|
| |
Нейроны
функционируют на основе "чего-то неопределенным" |
|
-----------------------------------
Статья "Нейрон"
+ уникальный видеоролик "Формирование нейронных
функциональных систем". (8мб)
---------------------------------
Последующие
стадии формирования нервной системы
Нейроны не способны к делению но
генетически запрограммированы на образование связей.
Нейронные связи, сформированные на ранней стадии развития мозга,
продолжают изменятся на протяжении всего периода жизни человека.
Способность мозга к реорганизации в ответ на внешние воздействия или на
локальное повреждение является наиболее активно изучаемым явлением
нейробиологии не только потому, что очевидна его связь с такими феноменами,
как обучение и память, и его отношение к способности мозга восстанавливаться
после повреждения, но и потому, что они открывают тайны нормального развития
мозга.
Хотя нейроны и не могут делиться, они обладают способностью к
адаптивной перестройке. Если две нервные
клетки должны «общаться» более интенсивно, число связей между ними может
возрастать за счет добавления новых синапсов при одновременном сохранении
старых. Существует даже мнение, что нейроны в нормальном состоянии все
время образуют новые связи со своими мишенями. Как только новые синапсы
сформировались, старые разрушаются. Такое замещение, вероятно, может
компенсировать изнашивание связей в результате их длительной и непрерывной
работы.
Другая основа формирования новых функциональных нейронных связей
- вовлечение нейронов из резерва ранее
«молчавших», импульсно неактивных клеток.
Все части нервной клетки - нейрона (перикарион, аксон и дендриты) находятся
в непрерывной функциональной связи друг с другом, и изменения в одной из них
влекут за собой изменения в других. Ранее были приведены количественные
показатели (около ста миллиардов нейронов) но нейроны, не включенные в
активную работу по передачи нервных сигналов, свои незадействованные
синаптические окончания втягивают обратно.
Изменение «микросреды» «молчащих» нейронов ведет к появлению у них
импульсаций и как следствие стимулируется образование новых синаптических
связей.
Сегодня у читателя есть возможность приблизится к
пониманию механизмов функционирования и
развития собственного организма и нервной системы в частности. Такая
возможность лежит через рассмотрение специфических схемных процессов
функциональных систем, осуществляющих взаимоотношение целого организма с
предметной средой.
4.
Вторая часть
Специализация нейронов относительно вновь формируемых функциональных систем
— это системная специализация. Таким образом нейрон системоспецифичен.
Функция (от латинского functio —
исполнение, осуществление) - деятельность, обязанность, работа;
внешнее проявление свойств какого–либо объекта в данной системе отношений
(например, функция органов чувств, функция денег).
Система (от греческого systema – целое,
составленное из частей; соединение), множество элементов, находящихся в
отношениях и связях друг с другом, образующих определенную целостность,
единство.
Характеризуется наличием плана своего возникновения и развития, порядком
расположения частей, предначертанности своего устройства.
Ход функционирования системы имеет последовательный и связный порядок.
Таким образом, Функциональная система -
это объединение (целое) элементов (частей), ход
взаимодействия которых имеет последовательный и связный порядок.
|
Подсистема
|
|
 |

|
|
элемент |
 |
 |
элемент |
|
|
 |
|
 |

 |
|
Система |
|
объединение |
 |
взаимодействия |
|
Рассматривая системные отношения, гениальный нейрофизиолог
П.К. Анохин отмечал: "...Система может быть образована только в том случае,
если имеет место некий системообразующий фактор,
который неорганизованное, хаотическое множество взаимодействующих
компонентов переводит на уровень системы, т.е. в упорядоченное множество.
...упорядоченность во взаимодействии множества компонентов системы
устанавливается на основе степени их содействия в получении целой системой
строго определенного полезного результата.
Можно пойти еще дальше и поставить чисто риторический вопрос: откуда
управляющая система «узнает», каким именно объектом ей надо управлять....
...И не обстоит ли дело так, что уже начальные процессы формирования самой
управляющей системы находятся полностью под управлением будущего,
необходимого в данный момент организму результата?"
Современной науке известно два вида функциональных
систем:
- естественные системы - появившиеся по
законам природы, обязанные им, а не постороннему вмешательству;
- искусственные системы - не природные,
сделанные при постороннем вмешательстве.
Все известные на данный момент искусственные
системы образованны мыслящим существом - человеком.
Любая искусственная система представляет собой переход:
Возникновение
Функционирование
Прекращение функционирования
|
Примером
искусственной системы может служить работа компьютерных
сетей. |
|
Возникновение
1. Пользователь принял решение донести свою информацию при помощи
Web-страницы. |
Изначальный
системообразующий фактор
Замысел - План - Задача - Ожидаемый результат |
|
2. Собрал компьютер.
3. Создал Web-страницу. |
Конструктивная
реализация |
|
Функционирование
4. Разместил Web страницу в Интернете. |
Работа
системы |
|
5. Получил отзывы о своей Web-странице. |
Результат
работы системы |
|
6. На основе отзывов пользователь принял решение
оставить без изменений или изменить Web-страницу. |
Получение
результата - Сравнение результата
Принятие решения |
|
7. Пользователь поставил без изменений или изменил
Web-страницу. |
Работа
системы -
Частичная реорганизация |
|
Прекращение функционирования
8. На основе отзывов или на основе собственного желания уничтожил
Web-страницу. |
Остановка
или
Разрушение
Полная реорганизация |
|
9. Хакеры уничтожили или изменили
Web страницу. |
Остановка
или
Разрушение
Полная
реорганизация |
|
10. Нарушение работы сервера уничтожило
Web страницу. |
Остановка
или
Разрушение
Полная
реорганизация |
Таким образом,
Изначальный системообразующий фактор
- решение пользователя, хакера - это одно пространство
(Сознание), а
Конструктивная реализация - это другое
пространство. Пространство материальных объектов (составные части
компьютерных сетей).
И такое пространственное взаимоотношение присутствует во всех искусственных
системах - Изначальный системообразующий фактор
не принадлежит пространству
"Конструктивной реализации этой системы".
Что является Системообразующим фактором
на начальном этапе возникновения
естественных систем - остается загадкой.
Современная наука фиксирует структурные элементы и некоторые
взаимоотношения между ними в естественных системах. Наблюдает "со стороны".
Но "по чему", "с какой целью" возникла конкретная система-организм наука
ничего сказать не может.
Искусственное соединение двух или нескольких естественных систем
в единую Биологическую искусственную систему
представляет собой результат синтезного воздействие
двух Системообразующих факторов: "Экспериментатор
со стороны" и "То, что изначально
сформировало первоначальную естественную систему".
Для науки доступно пространство, в
котором формируется "Системообразующий фактор экспериментатора" - эти
экспериментаторы и создают "науку". Но для экспериментатора остается
не доступным пространство "Системообразующего
фактора естественной системы".
О каком пространстве здесь идет речь, где оно находится, каковы его
характеристики?
Помочь человеку найти ответы на поставленные здесь вопросы и основная задача
этой статьи.
Последние достижения генной инженерии отодвигают пространство
Изначального системообразующего фактора
биологической системы в пространства генов и молекул.
Генетическая (генная) инженерия -
область молекулярной биологии и генетики, ставящая своей задачей
конструирование генетических структур по заранее намеченному плану, создание
организмов с новой генетической программой. Возникновение генетической
инженерии стало возможным благодаря синтезу идей и методов молекулярной
биологии, генетики, биохимии и микробиологии.
Искусственный синтез гена впервые был
осуществлен в 1970 году индийским ученым Корана Г. (США). Он синтезировал
последовательность нуклеотидов (77) в ДНК, специфическую для структуры гена
транспортной аланиновой РНК в клетках пекарских дрожжей. Более двух лет
затратили на этот синтез гена. Последовательность нуклеотидов в нити ДНК
определялась по информационной РНК. Но этот ген был не способен работать in
vitro.
В 1976 г, в той же лаборатории был синтезирован ген тирозиновой тРНК
бактерии кишечной палочки. Этот искусственно созданный по специальной
программе ген был выведен в бактериальную клетку и функционировал как
природный.
Однако, химическим путем можно синтезировать небольшие по размеру гены.
Синтез сложных генов, состоящих из тысячи и более нуклеотидов, путем
химического синтеза пока создать не удается.
Но и бактерия — это одноклеточный
микроорганизм. Бактерии имеют строение - наличие нуклеоида (ядро
бактериальное), цитоплазматической мембраны, плотной клеточной стенки. Они
могут отвечать на раздражители, двигаться, регулировать использование
питательных веществ и дыхание, размножаться поперечным делением и
адаптироваться к изменениям окружающей среды.
Возможность искусственного химического синтеза гена показывает, что "неживые"
подсистемы (гены, молекулы) уже имеют базовый
"Изначальный системообразующий фактор" для формирования систему
более высокого порядка (живой клетки).
Именно конкретное соотношение конкретных
молекул!
Таким образом, становится виден путь перехода от уровня "неживых"
подсистем к уровню "живых" -
"Саморегулирующихся" функциональных систем:
|
 |
что-то
неопределенное |
 |
|
 |
|
Элементарные
частицы |
|
 |
|
Атом |
|
 |
|
Молекула |
|
 |
|
Нуклеотиды |
|
 |
|
Ген |
|
 |
|
Информационные молекулы |
|
 |
|
Белки |
|
 |
|
Клетка |
|
 |
Сегодня инженерный подход к сборке клетки
ничем не отличается от сборки телевизора или компьютера. Одной из
простейших биологических машин, известной генетикам, остается
одноклеточный микроорганизм - микоплазма.
Кольцевая хромосома микоплазмы содержит около 500 генов, а вся хромосома
состоит из 580 000 нуклеотидов (звеньев в цепочке ДНК). Инструментарий
генной инженерии позволяет очень точно вырезать по одному гену из
кольцевой хромосомы, зашивая "стык в стык" концы оставшейся хромосомы.
Подобно электромонтеру, вооруженному тестером, генетик проверяет
функциональную активность каждого гена, выключая его из линейной цепи.
Таким путем сотрудники Института генетических исследований в Роквилле,
США, проверяли роль каждого из 500 генов в выживании микоплазмы.
Довольно быстро удалось выяснить, что одиночное избирательное выключение
одного из 150 генов не влияло на жизнеспособность бактерий. Оставшиеся 350
генов оказались незаменимыми "игроками", хотя принадлежали к разным
группам белков и ферментов клетки. "Машина жизни" не "заводилась", если
удаляли или повреждали любой из оставшихся 350 генов.
Определение 350 незаменимых генов бактерии - это огромный прорыв в
человеческих знаниях о сущности живого. Фактически определены исходные
незаменимые буквы алфавита жизни, и с помощью компьютера предстоит найти
правила сборки этих букв в слова и предложения, которые будут
соответствовать элементарным функциям клетки. Каждый из генов, кодирующий
белковую молекулу, участвует в сборке разных слов и предложений. На языке
клеток - это сборка "моторов" для перемещения, "помп" для перекачки
полезных питательных веществ в клетку, откачки шлаков и прочего
оборудования для поддержания порядка (гомеостаза). Значит, инструкции ДНК
прочитываются одними машинами для сборки других машин.
Фактически пространство "Изначального
системообразующего фактора" живой клетки находится как минимум
на молекулярном уровне гена.
Таким образом, становится понятным, что путь постижения человеком
своего «Сознания»
должен включать все уровни функциональных систем его организма. И
тогда «Сознание»,
возникающее в результате совместных действий множества клеток организма и
мозга в частности, может проявится как стройная и конкретная
структура.
|